airflow teeth cleaning sheffield

How to Find Us Taptonville House provides a large range of Dental Care through NHS and Private services. This gives opportunity for patients to choose options which are either good, better or best to suit their needs. More time is able to be spent by dentists, hygienists and technicians to ensure the best results. Provided by dentist and students Available every six months Provided by specialist Hygienist Airflow treatment is the smoothest and most effective method of removing stain. Fillings on back teeth black High strength amalgam: with superior polishing surface.Metal fillings are glued in to increase strength and reduce sensitivity In accordance with NHS guidelines White plastic fillings which require less drilling and provide excellent colour match In acordance with NHS guidelines If more strength is required filling can be made out of porcelain. This is often a better alternative to a full crown. Fillings on front teeth

Better-quality materials can be used to create life-like fillings to match the rest of your smile with a high-polish surface. Available in standard shades in accordance with NHS guidleines High-quality porcelain allows unique shape and colouring of teeth to be matched to rest of smile. White crowns for back teeth. Dark lines at gum level can be avoided on front teeth. Available for teeth with simple uncomplicated roots. Provided by hospital specialist under microscope conditions. Filling is completed in 3D after using chemical and mechanical cleaning. Provided by Hospital specialist. Standard shades with teeth set up on a simple hinge. Natural tooth colours and teeth set up to move in all directions. Confidence in a secure smile. Bleaching to reverse the aging process on teeth. Provision of hard acrylic bite guard. Provision of soft bite guard. Replacement teeth set into your bone. Regardless of how well we follow our dental hygiene routine, sometimes only a qualified dentist can get teeth sparkling white.

Most dental professionals discourage the use of so-called whitening toothpastes because they contain tiny particles that scrape off the tooth enamel. While this can have the effect of brightening a smile, it also harms the structure and integrity of the tooth, meaning it is more susceptible to decay in the future.
coway mighty air purifier singaporeTeeth cleaning in London is an established business operating from NHS and private dentists across the capital.
swordfish air purifier reviewServices cost between £40 and £120 for a session, but with special offers from Groupon, savvy customers can sniff out some of the best deals going.
jual crc mass air flow cleaner Professional teeth cleaning in London Tooth whitening should never be recommended for children - any hygienist or clinic which offers this service should be viewed with a degree of suspicion.

However, for adults it is a free choice. Drinking tea or coffee, smoking and enjoying a glass of red wine can all contribute to dulling the appearance of the teeth, but London life would not be as much fun without these small pleasures to brighten up the day. For teeth cleaning, London has almost 300 qualified technicians who are adept at carrying out this procedure, which takes a little more than half an hour and results can normally be achieved straightaway. There are two main methods - the familiar "scale and polish" and the more modern laser tooth whitening technique which is also available from many dental studios including Covent Garden's Dr Flora Chigwedere. Removing the fear factor Nobody would classify a visit to the dentist as fun, but some people are genuinely terrified by the thought of it. For nervous patients, a number of very sympathetic dentists offer London teeth cleaning, one of the best is Douglas Miller's practice in North Finchley. He is fully accredited and offers a treatment plan to gently guide the patient through what needs to be done.

Counselling and sedation is also available here for those who are overcome by dental anxiety. London Bridge Dental Practice, meanwhile, offers an excellent teeth cleaning service, alongside a host of other options such as cosmetic braces, dentures and gum contouring. With a fully professional staff providing excellent care, you can be sure to receive the best treatment here. Affordable, quick and hassle-free whitening services Once an appointment has been booked for the tooth whitening treatment in London, it can be carried out during a busy professional's lunch hour, so there is no need to take half a day's leave or work late into the night. The procedure is quick and fulfilling, meaning that customers can leave with bedazzling choppers just 40 minutes after walking through the surgery door. This straightforward cosmetic procedure has lasting effects of up to a year (depending on the individual's dentition) which is money well spent. For those looking for more information, this handy guide has been put together by the National Health Service.

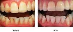
Private Teeth Cleaning Sheffield All 26 Private Teeth Cleaning Clinics in Sheffield Results 1 - 12 of 26 for clinics who provide Teeth Cleaning in Sheffield 12 3 Next > Find out how we list clinics here. Our AirFlow treatment is designed to remove simple tooth staining caused by red wine, tea, coffee and smoking. Although this treatment is not a tooth whitening therapy, the AirFlow will significantly improve tooth brightness and give you a noticeably sparkling fresh healthy mouth in an instant. This can be significantly enhanced by tooth whitening. What is AirFlow polishing? Airflow polishing is a new hygiene cleaning treatment that uses a mixture of air, jet water and fine powder to polish and clean your teeth dramatically. This treatment is not a chemical treatment and therefore there will be no risk to the patients for any irritation or chemical burns. Airflow polishing is an advanced version of a scaling and polish treatment for stain removal allowing you to walk away the same day with amazing, clean results.